アクセス制御
NINJA TOOLS
さとぽん写真館
写真でさらす不良主婦の日常。
admin≫
[PR]
admin≫
2025/12/14 18:05:14
×
[PR]上記の広告は3ヶ月以上新規記事投稿のないブログに表示されています。新しい記事を書く事で広告が消えます。
来客
admin≫
2014/10/30 23:46:40
建築土木関係の弟君
遠くやまんすくんだりから
ウチの近所まで仕事に来てるらしい
車を置いて積んできたチャリに乗ってきた
PR
▼つづきはこちら▼
このころはもう料理もできるようになり
材料はいろいろありんす
いつもは
パン1個とか?!
ダイエット中とか?!
やせなきゃいけないっていうけど
力仕事なのに体持たなくない?!
ていうか力仕事なのになぜダイエット?
元々やせても太ってもいないけど
本当に昼休みのコ1時間ほどでチャリチャリと帰っていった
弟君とこうして2人で過ごすのは初めてだね
昔飲み会の帰りにウチへ泊まったことはあったけど
面白ー
久しぶりに人とご飯を食べました
また来てね
*****夢******
ペダルをこいで前に進みたいのに
脚力がないのかぜんぜん走らない
みんなに置いていかれる
モタモタしていると
あれ
もしかしてこれバイクじゃん
ハンドルのスロットルを回したらグイっと前に出た
弟君のチャリにまたがって少し遊んだせいか
(ペダルはこげない)
チャリはやっぱり無理だろう
バイクなら乗れるだろう
久しぶりに2輪の感覚を味わったせいか
少し思い出したのかも
△閉じる△
ヒキコモリ
admin≫
2014/10/29 00:11:10
最近ヒョンなきっかけでハマっています
音楽室へ↓
【改】蒼い瞳のエリス/安全地帯
星空のディスタンス/ALFEE
CLOUDY HEART/BOOWY
カボチャケーキ
admin≫
2014/10/21 23:44:22
ファイル容量が厳しくなってきました
引越しは面倒だなあああ
カボチャケーキ
1ヶ月
admin≫
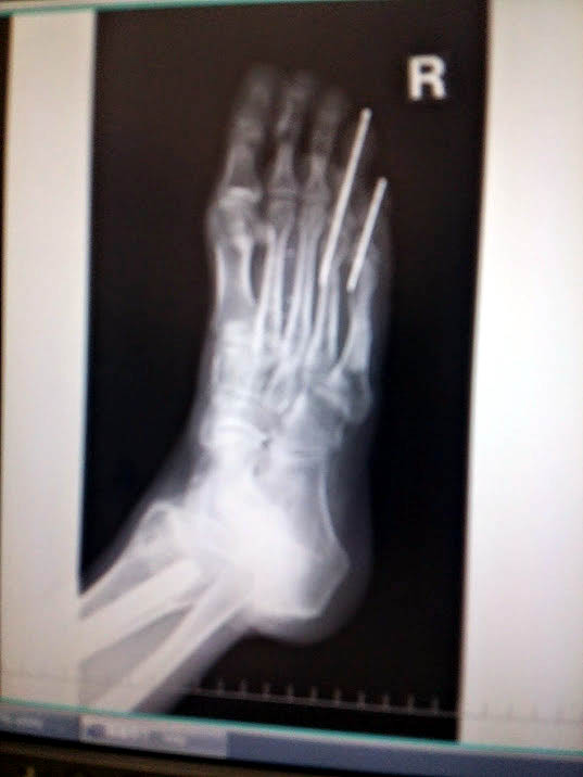
2014/10/19 22:00:11
オペから1ヶ月経ちました
1ヶ月という目安はいろいろな起点
24日入院していたので早く感じます
▼つづきはこちら▼
指に刺さっているピンを抜きます
今回は
補助的なもので
細くて短めだけど
先生が力任せにゴイゴイと引っ張る
痛くはないがその力まかせが恐ろしい
(-д-;)ハァ
またコレクションが増えました
ホチキスの位置に
本当は髄内釘とピンが来るはずだった
髄内釘は抜いてないけど
O病院はピンすらくれなかった
看護師さんに毎回足が細いと言われるけれど
入退院を繰り返せばね
誰でもなりますよ
ただし今回はとうとう
足のラインが
変わってしまった
まーこんなギリギリのミニスカでも履かない限り
わからない・・・と思う
糸は少し残っているけれど
これで完全にぬらして洗っていいらしい
車の運転もOKが出た
でもピンを抜いたせいで痛みが増し
時々鋭い痛みに襲われたり
右足全部が痛いからどうも動きが鈍い
今までは1ヶ月経てば元の生活に戻していけたけど
今回はスローな感じ
△閉じる△
自給自足
admin≫
2014/10/13 23:50:50
母たちが買い物してくれたおかげで
出かけずに済んでいる
それに!
なんとか家では両足が使える
早い段階でキッチンに立つことができました
さすが24日ゆっくり静養したおかげです
▼つづきはこちら▼
小麦粉はいつでもあります
カボチャマッシュで
涼しくなって
発酵にはホットカーペットと
発泡スチロールを使ってみる
1個ずつ計って
大きさをそろえたつもり
8個4種類:
「甘」レーズン+シナモンシュガー
「甘」クルミ+ピーナツバター
「辛」チーズ+チーズ
「辛」ウインナー
できるだけ詰めたつもりだけど
具はもっと入っている方がウレシイ
といつかYさんも言っていたけど
苦労のわりにブサイク必須
詰めて閉じるの結構大変なのよね
△閉じる△
≪ 前のページへ
|
ホーム
|
次のページへ ≫
文字変更スイッチ
文字変更スイッチ
(△お好みの文字サイズになるまでクリックしてください)
カレンダー
カレンダー
11
2025/12
01
S
M
T
W
T
F
S
1
2
3
4
5
6
7
8
9
10
11
12
13
14
15
16
17
18
19
20
21
22
23
24
25
26
27
28
29
30
31
カテゴリー
カテゴリー
未選択 ( 9 )
仕事 ( 103 )
バイク・車 ( 240 )
料理・お菓子 ( 228 )
Yさん ( 86 )
酒、おいしいもの ( 173 )
DTM、PC関係 ( 112 )
緑色 ( 44 )
家 ( 74 )
ネコ、動物 ( 14 )
山 ( 24 )
リハビリ ( 79 )
針仕事 ( 96 )
ぼやき ( 24 )
着物 ( 17 )
リンク
リンク
愛坊
大型2輪奮闘記
クララの闘病日記
緑の会
チーム川崎入部テスト
SEXY CAT
さとやっこの台所
さとやっこ川柳
さとやっこ替え歌
さとぽんの写真館Ⅱ
音楽室
【NEW】
11/26
さとぽん忍者2
【NEW】
ペット
絶賛出品中(ノ´▽`)ノ
最新コメント
最新コメント
Sさんへ
[11/24 さとぽん]
無題
[11/23 S]
こうめいさんへ
[11/20 さとぽん]
良いですね
[11/20 こうめい]
こうめいさんへ
[11/10 さとぽん]
最新記事
最新記事
お引越し
(11/26)
戦利品
(11/20)
配達ツー
(11/15)
りんごツー
(11/14)
秋祭り
(11/09)
プロフィール
プロフィール
HN:
さとぽん
性別:
女性
職業:
運び屋
趣味:
バイク、音楽、お菓子
自己紹介:
and more・・・
バーコード
バーコード
ブログ内検索
ブログ内検索
アーカイブ
アーカイブ
2014 年 11 月 ( 5 )
2014 年 10 月 ( 11 )
2014 年 09 月 ( 16 )
2014 年 08 月 ( 17 )
2014 年 07 月 ( 12 )
アクセス解析
アクセス解析
カウンター
カウンター
天気予報
天気予報